ในงานประชุมประจำปีของ American Association for Cancer Research ทางนักวิจัยของ Google ได้โชว์กล้องจุลทรรศน์ต้นแบบที่ใช้ AR มาช่วยให้วินิจฉัยมะเร็งได้ง่ายขึ้น

เมื่อนักพยาธิวิทยาทำการส่องกล้องเพื่อดูชิ้นเนื้อเยื่อ เพื่อวินิจฉัยว่ามีสัญลักษณ์ที่บ่งบอกว่าอาจจะเป็นมะเร็งรึเปล่า เพราะต้องมาดูว่าเป็นมากน้อยแค่ไหนและเป็นประเภทไหน ซึ่งเป็นขั้นตอนที่ใช้เวลามาก
ทาง Google ก็เลยคิดนำเครื่องมืออย่าง deep learning มาช่วยอำนวยความสะดวก แต่ก็ยังมีข้อจำกัดคือหลายๆที่ยังไม่สามารถเข้าถึงเทคโนโลยีนี้ได้ เค้าก็เลยพัฒนากล้องจุลทรรศน์ตัวนี้ขึ้นมาเพื่อให้หน่วยงานที่มีงบประมาณจำกัด อย่างคลีนิกหรือห้องแล็ปขนาดเล็ก รวมถึงประเทศที่กำลังพัฒนาวิเคราะห์โรคมะเร็งได้ง่ายและเร็วขึ้น แถมยังเป็นการเร่งให้เกิดการนำ AI มาใช้ในวงการแพทย์ให้มากขึ้น
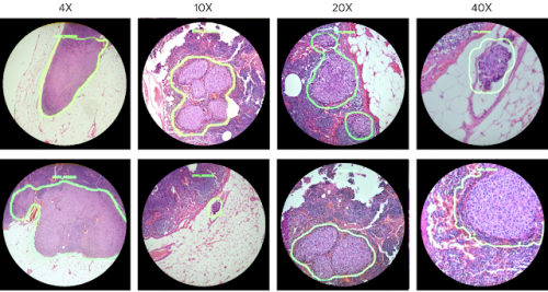
ปกติไมโครโฟนทั่วไปนั้นจะใช้แสงในการส่องเนื้อเยื่อ แต่กูเกิลนั้นจะใส่เทคโนโลยี AI และ AR เข้าไปเพิ่ม โดยปัญญาประดิษฐ์นั้นจะถูกฝึกสอนให้ตรวจจับมะเร็งจากรูปภาพ ส่วน AR จะทำหน้าที่วงส่วนที่จุดน่าสงสัยที่อาจจะเป็นมะเร็งซึ่งการทำงานจะง่ายและรวดเร็วกกว่าการใช้ตาคนส่อง จึงทำให้เช็คเนื้อเยื่อได้จำนวนมากขึ้นด้วย
ในงานนี้ทาง Google ได้โชว์ทดสอบเนื้อเยื่อมะเร็งต่อมลูกหมากให้เห็นว่ามีความแม่นยำแค่ไหน ซึ่งเค้าบอกว่า AI สามารถฝึกสอนให้รู้จักมะเร็งประเภทอื่นๆได้รวมถึงตรวจเชื้ออื่นๆอย่าง tuberculosis และมาลาเรีย ทั้งหมดนี้เป็นสิ่งที่พิสูจน์แนวคิดว่านำมาใช้งานได้จริง แต่ก็ยังต้องศึกษาและประเมินความสามารถอีกสักระยะก่อนนำมาใช้งานได้จริง
VIA engadget